

产品名称:细胞周期蛋白D1抗体试剂(免疫组织化学)
产品编号:C054
克隆号: ATO-042
种属来源: 兔单抗
细胞定位: 细胞核
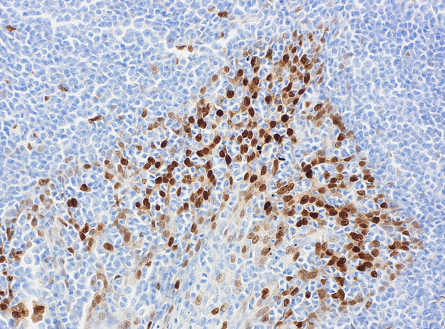
阳性对照: 扁桃体
修复方式: EDTA热处理
型号/规格: 工作液(1mL、3mL、6mL、9mL、12mL、15mL)
在线咨询
Cyclin D1(细胞周期蛋白D1)是一种分子量为36kDa的由人类CCND1基因编码的核蛋白,由295个氨基酸氨基组成的蛋白质,属于高度保守的细胞周期蛋白家族成员。Cyclin D1表达的细胞周期特点是G1期最多而S期最少,是细胞周期中G1期进入S期的重要调控因子,主要分布在细胞核内。正常组织中,Cyclin D1的表达限于上皮组织的增殖区、内皮和一些成纤维细胞中,淋巴组织中不表达。突变导致的Cyclin D1基因扩增或者其蛋白水平升高,进而改变细胞周期进展,在多种肿瘤中均有发现,可能与肿瘤的发生有关。
Cyclin D1主要用于套细胞淋巴瘤与其他B细胞淋巴瘤的鉴别。
备案凭证
苏苏械备20221062号
在线询价
继续深入了解此产品,你可以在此提交你的需求